
Artroscopia de muñeca


¿En qué consiste exactamente?
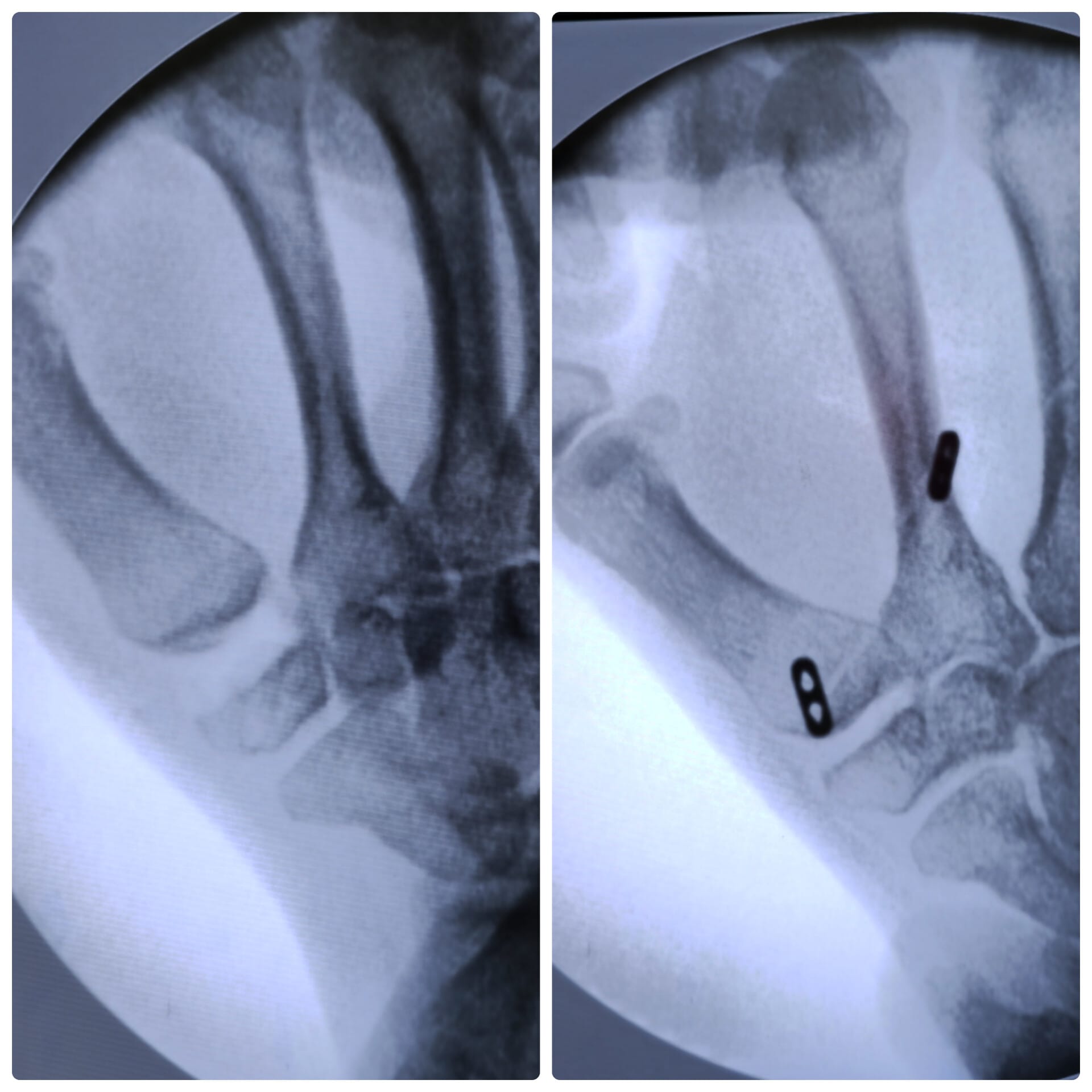
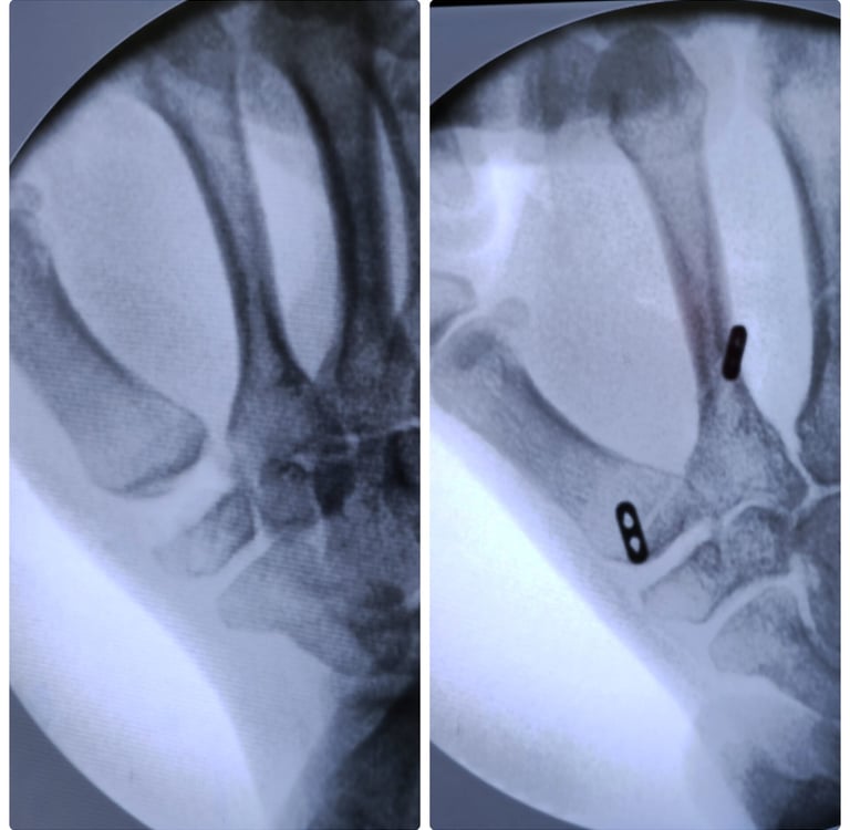
La artroscopia se realiza introduciendo una pequeña cámara (una “óptica”) dentro de la muñeca. Esa cámara nos muestra en una pantalla todo lo que ocurre dentro de la articulación: cartílago, ligamentos, el fibrocartílago triangular (FCT) y cualquier zona dañada.
A través de otros orificios milimétricos se introducen instrumentos finos que permiten reparar, limpiar o tratar la lesión.
En la mayoría de los casos:
Se hace con anestesia regional (solo se duerme el brazo).
Es una cirugía ambulatoria, es decir, el paciente vuelve a casa el mismo día.
Las cicatrices son pequeñas y discretas.
La utilizamos cuando hay dolor o molestias que no mejoran con tratamiento conservador o cuando las pruebas de imagen sugieren una lesión que se puede tratar mejor desde dentro.
Las indicaciones más habituales son:
Lesiones del ligamento escafolunar o de otros ligamentos de la muñeca.
Lesiones del fibrocartílago triangular (FCT), muy comunes en dolores del lado cubital.
Evaluación y tratamiento de fracturas de radio distal o fracturas dentro de la articulación.
Artrosis localizada, roce o daño del cartílago.
Extracción de pequeños cuerpos sueltos dentro de la articulación.
Dolor de muñeca sin diagnóstico claro después de resonancia o ecografía.
En muchos casos la artroscopia es útil tanto para confirmar el diagnóstico como para tratar la causa del dolor en el mismo acto.
¿Cuándo está indicada la artroscopia de muñeca?
Ventajas de la artroscopia de muñeca
Incisiones muy pequeñas.
Menos agresión de tejidos → menos dolor.
Visualización excelente del interior de la muñeca.
Recuperación generalmente más rápida.
Menor riesgo de rigidez.
Cicatrices casi imperceptibles.
Recuperación y rehabilitación
La artroscopia de muñeca es una técnica de cirugía mínimamente invasiva que permite ver por dentro la articulación mediante una pequeña cámara. Gracias a esto podemos diagnosticar y tratar lesiones con incisiones muy pequeñas, menos dolor y una recuperación más rápida que con la cirugía abierta tradicional.
La recuperación puede variar según lo que se haya realizado dentro de la muñeca:
En procedimientos simples (como limpieza o desbridamiento), la movilidad suele comenzar en pocos días.
En reparaciones ligamentosas o del FCT, normalmente se recomienda una inmovilización inicial y después fisioterapia especializada.
Es normal que los primeros días haya inflamación o molestias al mover la mano.
El objetivo de la rehabilitación es recuperar:
movilidad
fuerza
estabilidad
confianza al usar la mano en el día a día











